Le syndrome du septum interradiculaire : définition, diagnostic et prise en charge complète

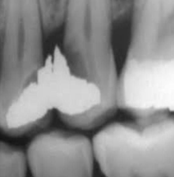
1. Définition clinique du syndrome du septum interradiculaire Le syndrome du septum interradiculaire (parfois appelé syndrome du septum interdentai...
Lire la suite